STARJOGJA.COM, The Lancet Global Health baru saja menerbitkan hasil penelitian yang menyoroti dampak buruk pandemi COVID-19 terhadap pengendalian tuberkulosis (TB) di Indonesia, negara dengan beban TB tertinggi kedua secara global dan beban COVID-19 tertinggi kedua di kawasan Asia.
Penelitian yang memaparkan analisis nasional yang komprehensif dari keterkaitan COVID-19 dan epidemi TB di Indonesia tersebut, menemukan bahwa selama pandemi COVID-19, angka notifikasi kasus (case notification rate) TB menurun sebesar 26%, dan angka cakupan pengobatan (treatment coverage) menurun sebesar 11%.
Meski demikian, tidak ada peningkatan yang signifikan pada kematian semua penyebab, dibandingkan dengan periode sebelum pandemi.
Penelitian ini juga memaparkan bahwa dampak terhadap program pengendalian TB nasional paling terasa di kabupaten/kota dengan kasus COVID-19 tertinggi dan sumber daya layanan kesehatan terendah, terutama dalam hal kemampuan diagnostik TB, serta jumlah dokter dan puskesmas yang terbatas. Ketiga hal tersebut merupakan komponen utama dalam tata kelola TB dan COVID-19.
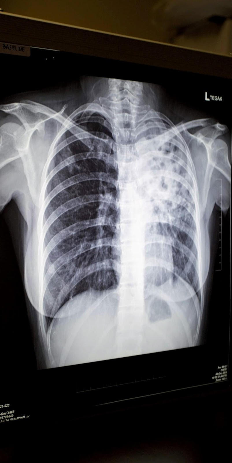
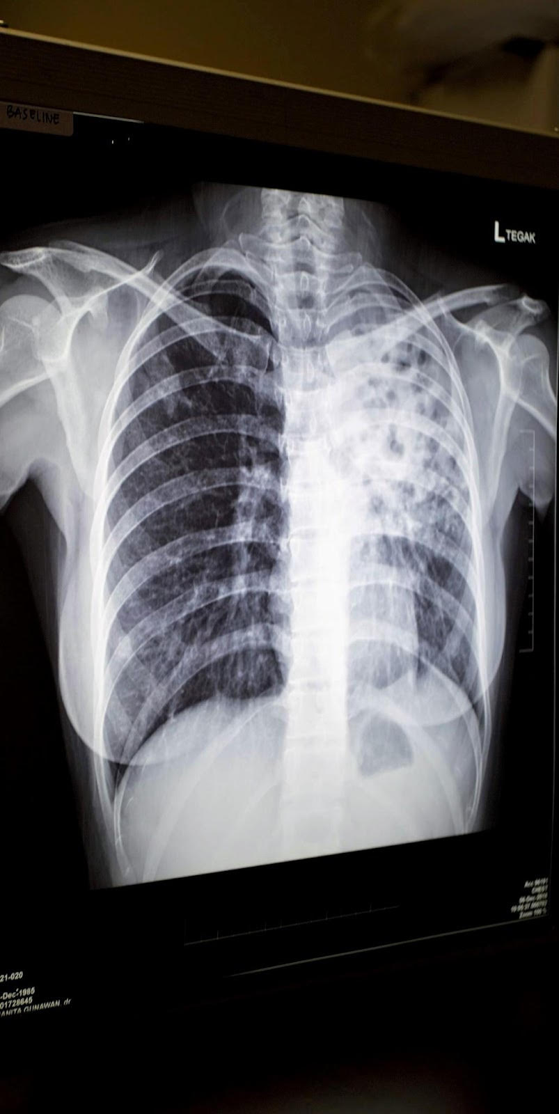
- Foto toraks pasien yang terdiagnosa TB paru (Photo credit: Pearl Gan untuk OUCRU Indonesia)
Lebih lanjut, penelitian ini memberikan rekomendasi bagi para pembuat kebijakan dan praktisi kesehatan yang berupaya memitigasi kedua epidemi itu, termasuk menjadi acuan untuk melakukan investasi struktural lebih lanjut dalam kesiapsiagaan sistem kesehatan, termasuk akses ke layanan kesehatan berkualitas, untuk menuju sistem kesehatan lokal yang resilien menghadapi kejadian-kejadian seperti pandemi COVID- 19 lalu.
Dr Henry Surendra, Epidemiolog di Oxford University Clinical Research Unit (OUCRU) Indonesia dan Associate Professor di Monash University, Indonesia, sebagai penulis utama memaparkan bahwa, “Salah satu kekuatan dari penelitian ini adalah penggunaan data surveilans nasional untuk TB dan COVID-19, ditambah dengan indikator pembangunan manusia. dan kapasitas sistem kesehatan pada 514 kabupaten/kota di 34 provinsi di Indonesia dengan jumlah populasi keseluruhan lebih dari 275 juta orang. Dari data tersebut ditemukan bahwa kebutuhan terbesar untuk meningkatkan resiliensi sistem kesehatan ada pada kabupaten/kota yang paling rentan terdampak oleh pandemi.”
Faktor penyebab
Dr Raph Hamers, Kepala Clinical Infectious Disease Programme dan peneliti senior OUCRU Indonesia, menambahkan, “dalam konteks Indonesia, ada beberapa faktor kompleks yang mungkin memperburuk layanan penemuan kasus dan pengobatan TB selama pandemi COVID-19, seperti tingginya laju infeksi dan kematian terkait COVID-19 pada tenaga kesehatan, perubahan perilaku masyarakat dalam mengakses layanan kesehatan dan pembatasan sementara dalam mengakses layanan kesehatan, serta terganggunya respons imun tubuh pasien terhadap kedua pathogen tersebut.”
Dr Tiffany Pakasi, Kepala Tim Kerja TB di Kementerian Kesehatan Republik Indonesia, dan salah satu kontributor pada penelitian ini, mengatakan: “Penelitian ini menggarisbawahi pentingnya analisa sub-nasional yang kuat dan berskala besar terhadap database pasien di negara-negara dengan beban TB tinggi, untuk lebih memahami implikasi langsung dari pandemi COVID-19 terhadap program pengendalian TB nasional.”
- Tatalaksana pasien COVID-19 dan TB di Indonesia sebagian besar dilakukan di puskesmas. (Photo credit: Pearl Gan untuk OUCRU Indonesia)
Prof.dr. Ari Fahrial Syam, Dekan Fakultas Kedokteran Universitas Indonesia (FKUI) mengatakan: “Penelitian ini membantu kita memahami kerusakan pada sistem kesehatan di Indonesia yang terjadi akibat dari pandemi COVID-19. Terlepas dari dampaknya pada penanganan TB, kami mendapatkan informasi tentang adanya kebutuhan untuk meningkatkan ketersediaan GeneXpert, pusat kesehatan masyarakat, dan dokter secara merata di seluruh negeri.”
Lebih lanjut, beliau menegaskan bahwa, “FKUI berkomitmen untuk peran utamanya dalam penelitian translasi, klinis dan diagnostik, dan Laboratorium Rujukan Nasional untuk pengujian TB molekuler di Departemen Mikrobiologi Klinik FKUI.”
Dr Erlina Burhan, Pakar TB dari FKUI, Ketua Gugus Tugas COVID-19 Ikatan Dokter Indonesia dan Ketua Koalisi Organisasi Profesi Melawan TB Indonesia mengatakan, “Pelajaran yang kita dapatkan dari COVID-19, termasuk kolaborasi, inovasi, intervensi dan implementasi, dapat langsung diterapkan dalam pengendalian TB.
Banyaknya data TB yang tersedia sekarang dapat digunakan untuk meningkatkan intervensi berbasis bukti untuk tatakelola dan pengendalian TB di Indonesia, bergerak menuju eliminasi TB pada tahun 2030.”
Tentang Oxford University Clinical Research Unit (OUCRU)
Unit Penelitian Klinis Universitas Oxford (OUCRU) adalah unit penelitian klinis dan kesehatan masyarakat berskala besar dengan kantor lokasi di Vietnam, Indonesia, dan Nepal.
Di Indonesia, OUCRU bekerja sama dengan Fakultas Kedokteran Universitas Indonesia untuk secara kolaboratif mengembangkan agenda penelitian yang menarik dan relevan bagi penyedia layanan kesehatan Indonesia dan pasiennya.
Visi OUCRU adalah untuk memberikan dampak kesehatan lokal, regional, dan global dengan memberikan program penelitian berbasis lokal tentang penyakit menular di Asia Tenggara.
Sumber : www.oucru.org
Baca juga : The Gorgeous 14th StarFM 101.3FM









Comments